Home About Technology CDCP Services Emergency Blog 587-330-3000 Book Now
Certified Pearl AI Technology Partner

Dentistry,Re-Engineered.

For decades, dental diagnosis relied entirely on what the human eye could detect. We've added a layer of clinical intelligence that sharpens every decision — catching what others miss, and communicating it with absolute clarity.

98%
Detection accuracy
2s
AI analysis time
12+
Conditions detected
100%
Appointments covered
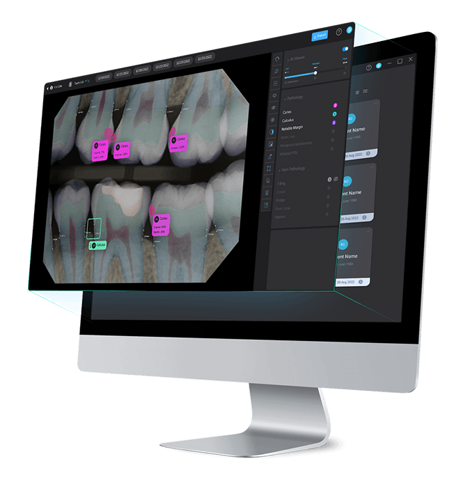
Pearl AI · Live Radiograph Analysis
Pearl AI radiograph analysis
98%
Accuracy
2s
Analysis
12+
Conditions
The Intelligence Behind Every Visit

What Is Pearl AI?

🤖
Pearl — Second Opinion AI
The world's first FDA-cleared dental AI · Used by thousands of clinicians across North America

Pearl is the world's most clinically validated dental AI platform. It analyses dental radiographs in real time — identifying cavities, bone loss, calculus, and other conditions with a level of consistency and precision that enhances what even the most experienced clinicians can detect alone.

At For Your Smile Dental, Pearl reviews every single X-ray taken at our clinic — not just complex cases. This means every patient, at every appointment, benefits from an additional layer of clinical intelligence.

🏅 Certified Pearl AI Technology Partner — Calgary, AB
🔬
Visual Evidence

Annotated X-rays shown on screen — you see exactly what we find, every visit.

🧠
Informed Decisions

AI-backed clinical insight means every recommendation is grounded in data, not guesswork.

💪
Confidence

Leave every appointment knowing exactly what was found, why it matters, and what comes next.

98%
Detection accuracy
2s
Per radiograph
12+
Conditions flagged
FDA
Cleared platform
"Technology doesn't replace clinicians. It sharpens them."
Pearl AI is a clinical decision support tool. Every finding it surfaces is reviewed, interpreted, and acted upon by our qualified dental team. The AI adds consistency — the human judgement remains central.
Step by Step

How AI Analysis Works
at Every Appointment

Pearl AI is seamlessly integrated into your visit — you won't notice anything different except a clearer explanation of your oral health at the end.

1
🦷
X-Ray Taken
Digital radiographs are captured using our low-radiation intraoral sensors — fast, precise, and comfortable.
2
Pearl Analyses in 2s
The moment images are captured, Pearl AI processes them — mapping pathologies, measuring bone levels, and flagging areas of concern.
3
🗺️
Findings Annotated
AI overlays colour-coded annotations on your X-rays — highlighting cavities, calculus, bone changes, and more with visual precision.
4
👩‍⚕️
Clinician Reviews
Our dentist reviews the AI findings alongside their own clinical assessment — confirming, contextualising, and building the treatment plan.
5
💬
You See It Clearly
We show you the annotated images directly — so you understand your oral health in plain terms, not just clinical jargon.
The Difference

Traditional Dentistry vs.
Intelligence-Driven Care

This isn't about replacing skilled clinicians — it's about giving them consistently sharper tools.

Clinical Aspect
Traditional Clinic
For Your Smile Dental
🔬 Radiograph Review
Human eye only — subjective
AI + clinician — objective & validated
📍 Condition Detection
Limited to visible findings
12+ conditions mapped, including early-stage
🎯 Consistency
Varies between appointments & clinicians
Same AI standard applied every single visit
🗺️ Patient Communication
Verbal explanation — hard to visualise
Annotated images — you see exactly what we see
⏱️ Diagnosis Speed
Manual review — minutes per film
AI analysis complete in under 2 seconds
🦷 Early Cavities
Often missed until symptomatic
Detected at sub-clinical stage — before pain starts
📊 Bone Level Tracking
Estimated visually — inconsistent
AI-measured and tracked over time
💬 Treatment Trust
Take the dentist's word for it
Evidence-based — you see the data before agreeing
What Pearl Finds

12+ Conditions Detected
at Every Visit

Pearl AI doesn't just confirm what's obvious — it finds what's easy to miss. These are the conditions our AI actively looks for at every appointment, often catching them years earlier than a traditional visual exam would.

Why Early Detection Matters
A cavity caught at the enamel stage is a simple filling. The same cavity left undetected for 12 more months may require a root canal or crown. Early detection isn't just clinically better — it saves you time, discomfort, and money.
Early cavity: filling cost ~$150–$250
Advanced cavity: root canal + crown ~$1,500–$2,500
Both covered by CDCP — catching it early saves co-pay too
🦷
Interproximal Cavities
Cavities between teeth — often invisible to the naked eye. Pearl detects them at the enamel stage before they reach the dentin.
Early Detection
📉
Bone Loss
AI measures and tracks alveolar bone levels across appointments — identifying progressive bone loss that indicates periodontal disease before it becomes advanced.
Tracked Over Time
🪨
Calculus (Tartar) Buildup
Detected and mapped on X-rays — helping guide more thorough, targeted cleaning and identifying risk areas for gum disease.
Preventive
🌑
Periapical Lesions
Infections or cysts at the root tip — often symptom-free until they become abscesses. AI catches them early, when treatment is simpler.
Critical Detection
🔨
Fractured Teeth
Hairline cracks that don't show up clearly on visual examination are mapped by AI — preventing a manageable crack from becoming a tooth loss situation.
Fracture Risk
🧱
Secondary Decay (Under Fillings)
Decay developing beneath existing restorations — notoriously difficult to detect visually. Pearl identifies it before it causes a filling failure.
Hidden Decay
📏
Crown & Margin Defects
Open margins on crowns and bridges that allow bacteria entry. Detected and flagged for early repair before infection sets in.
Restoration Health
🌿
Furcation Involvement
Bone loss in the space between tooth roots — an important marker for advanced periodontal disease that guides targeted treatment decisions.
Perio Marker
💧
Root Resorption
Breakdown of root structure — detected early to allow intervention before the tooth is lost. Important for patients with orthodontic history.
Root Health
What You'll Experience

What It's Like to Be
Our Patient

The technology is seamless. You'll notice the difference not in the process, but in how much more clearly you understand your own oral health when you leave.

📅
You arrive — no forms about AI
Pearl AI runs silently in the background. There's nothing extra to sign or consent to beyond standard dental care. It's simply part of how we work.
🔬
X-rays are taken as normal
Digital radiographs are captured with our low-radiation sensors. As soon as they're taken, Pearl AI begins its analysis — completing it before your dentist even picks up the handset.
🖥️
Your dentist shows you what was found
On the chairside screen, you'll see your X-rays with coloured annotations — each area of concern labelled and explained. No guessing. No "trust me."
💬
You leave knowing the why
Every recommendation we make is backed by data you've seen yourself. Treatment decisions are yours to make — informed, not pressured.
"

I finally understood what was happening in my own mouth. The annotated X-ray explained more in 2 minutes than years of traditional dental visits ever did. I could see the cavity with my own eyes — and I understood exactly why treatment was needed.

SK
Sarah K.
Patient since 2024
★★★★★

"The AI caught something my previous dentist missed for two years. The technology here is genuinely different."

Marcus R. · Patient since 2025
★★★★★

"Seeing the annotated images made me trust the treatment plan completely. No more second-guessing."

Priya L. · Emergency patient
The Real Impact

Why This Technology Matters
for Your Health

🎯
You Get More Accurate Diagnoses
Pearl AI detects conditions at the enamel stage — before they cause pain, before they become expensive, before they become emergencies. The average cavity missed for one year grows from a $200 filling to a $1,500 root canal.
🤝
You Understand Your Own Oral Health
Annotated imaging means you see what we see. There's no "you'll just have to trust me." Every treatment recommendation comes with visual evidence you can review yourself before you agree.
🔄
Consistency You Can Count On
Human review varies — between dentists, between appointments, between tired Fridays and fresh Mondays. Pearl AI applies the same standard every time, to every X-ray, at every visit.
Problems Caught Before They Escalate
Early-stage bone loss, sub-clinical cavities, hidden secondary decay — these are the conditions that quietly worsen between appointments. AI catches them before your next visit becomes an emergency.
💰
Prevention Saves You Money
A filling costs a fraction of a crown. A crown costs a fraction of an implant. The earlier a condition is caught, the simpler and cheaper the treatment — especially important if you're on CDCP with a co-pay.
🧠
Better Decisions, Not More Procedures
AI doesn't inflate treatment plans — it supports better decisions. When we recommend treatment, you have the data to understand why. When we say everything looks fine, you know it's been thoroughly checked.
Common Questions

Technology FAQ

Does AI replace the dentist at your clinic?
Absolutely not. Pearl AI is a clinical decision support tool — it analyses radiographs and surfaces findings, but every result is reviewed, interpreted, and acted upon by our qualified dental team. The AI adds precision and consistency; the clinician provides judgment, context, and care.
Is Pearl AI safe? Is it FDA cleared?
Yes. Pearl is the world's first FDA-cleared dental AI platform for radiograph analysis. It does not involve any additional radiation or procedures — it simply analyses the X-rays we already take as part of standard dental care.
Will I see the AI findings during my appointment?
Yes — and this is one of the biggest benefits. We show you your annotated X-rays on the chairside screen, walking you through what the AI found and what it means. You see exactly what we see before any treatment is discussed.
Can AI catch things a dentist would miss?
Yes. Clinical studies show AI consistently detects early-stage interproximal cavities, sub-clinical bone loss, and secondary decay under existing restorations that human visual examination alone may miss — especially at the early stages when conditions are smallest and hardest to see.
Does using AI mean more treatment recommendations?
Not necessarily more — but more accurate. If AI finds an early cavity that was previously undetected, yes, we'll recommend treatment. But that treatment is a simple filling now rather than a root canal in six months. The goal is earlier, simpler, cheaper treatment — not more of it.
Is this technology available at every dental clinic?
No. Pearl AI is used by a small percentage of dental clinics in Canada. Most clinics still rely entirely on manual radiograph review. For Your Smile Dental is one of a limited number of certified Pearl AI partner clinics in Alberta.
Does AI analysis cost extra?
No. Pearl AI is integrated into every appointment at no additional charge to you. It's part of how we practise dentistry — not an add-on service. Every patient benefits from AI-supported analysis as standard.
What if the AI and the dentist disagree?
The dentist's clinical judgment always takes precedence. Pearl surfaces findings for the clinician to review — it does not make treatment decisions. If there is a discrepancy between AI analysis and clinical examination, the dentist will discuss it with you openly and explain their reasoning.
Certified Pearl AI Technology Partner

Experience Smarter
Dental Care Today

Book your next appointment at For Your Smile Dental and see your oral health through a clearer lens — AI-supported diagnostics, annotated findings, and complete clarity at every visit.

🤖Pearl AI at every appointment
💬You see what we see
CDCP coverage accepted
🇨🇦100% Canadian owned