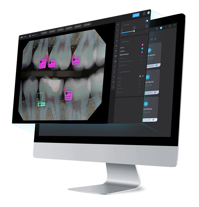
Dentistry has relied on what the human eye can detect for decades. We've added intelligence — every diagnosis sharper, every decision clearer, every patient conversation more informed.
Every dental X-ray at our clinic is reviewed using Pearl — dentistry's leading AI imaging platform — adding a consistent, data-supported layer of clinical insight that sharpens every decision.
Enhanced radiographic clarity for better condition visibility
Visual annotation helps patients understand their oral health
Consistent, data-supported clinical review at every appointment
AI supports clinicians — it never replaces human judgment
Always verify your active CDCP coverage before your appointment. Some services require preauthorization through Sun Life.
Emergencies assessed with the same intelligence-driven approach as all clinical care — AI-supported imaging guides rapid, confident decisions when every minute counts.
Call or message us immediatelyOur team triages your situation and books you as fast as possible.
AI-assisted rapid diagnosticsAdvanced imaging on arrival so we understand exactly what's happening.
Clear, confident treatmentNo guessing. Data-backed decisions delivered with compassion.
01
02
03
04
05
06"I finally understood what was happening in my own mouth. The annotated X-ray explained more in 2 minutes than years of traditional dental visits."
"They accepted my CDCP coverage with zero hassle. The team walked me through exactly what was covered before starting any treatment — so transparent."
"Had a dental emergency on a Saturday. Assessed and treated within hours. The calm, data-driven approach made a stressful situation completely manageable."
Five dedicated general dentists bringing expertise, compassion, and clinical precision to every appointment at Crowfoot NW Calgary.

Comprehensive general dentistry with a patient-first philosophy. Dedicated to ensuring every patient feels informed and comfortable at every visit.

Experienced in restorative and family dentistry. Dr. Palmer takes pride in building long-term relationships with patients across all ages and stages.

Focused on compassionate, evidence-based care. Skilled in extractions, root canals, and AI-supported diagnostics.

BDS qualified with a gentle approach to nervous patients. Experienced in cosmetic and restorative dentistry — helping patients feel confident in their smiles.

Dedicated to modern, technology-driven dental care. Committed to the Calgary community with a warm, thorough approach to every patient.
Meet our team of five dedicated dentists serving Calgary NW. Book your appointment →
Located at Crowfoot NW, Calgary, For Your Smile Dental is a proudly 100% Canadian-owned and operated independent clinic. Built on a simple belief: every patient deserves clarity, confidence, and care backed by the best available clinical tools.
Technology
Emergency
CDCPWhether it's a checkup, an emergency, or a CDCP appointment — book with us today.